Estudio de Localización (3PP)


| DiagnoDent Peru | Estudios

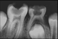
Estudio utilizado para determinar la posición de un diente o un objeto en los maxilares. Las principales aplicaciones son para analizar cuerpos extraños, dientes impactados, dientes no erupcionados, raíces retenidas, posiciones radiculares, Fracturas maxilares, etc.

Desarrollado por

INFORMACIÓN IMPORTANTE SOBRE TU PEDIDO ONLINE

Debido a la alta demanda actual , las entregas de listas se pueden extender hasta un plazo máximo de 72 horas, sin considerar el día Domingo.

Agradecemos su comprensión y el esfuerzo que hacen por mantenerse en casa , esas acciones reflejan nuestra responsabilidad y solidaridad con todo el Perú. Aquí estaremos para cualquier consulta que tengas !

Escríbenos para más Información