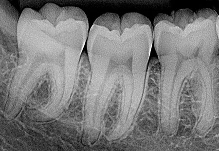
Radiografía Periapical


| DiagnoDent | Radiografías Intraorales
Permiten evaluar fracturas dentarias, lesiones cariosas y las alteraciones que comprometen la raíz del diente, el espacio periodontal y el tejido óseo que lo rodea.

periapical
Desarrollado por

INFORMACIÓN IMPORTANTE SOBRE TU PEDIDO ONLINE

Debido a la alta demanda actual , las entregas de listas se pueden extender hasta un plazo máximo de 72 horas, sin considerar el día Domingo.

Agradecemos su comprensión y el esfuerzo que hacen por mantenerse en casa , esas acciones reflejan nuestra responsabilidad y solidaridad con todo el Perú. Aquí estaremos para cualquier consulta que tengas !

Escríbenos para más Información